Middle Age Men Strength
3.5.1 March 7, 2026- 8.8
- 1
- 2
- 3
- 4
- 5
يرجى ملاحظة: يتطلب التطبيق اشتراكًا مدفوعًا حاليًا
Evidence Central هي حل متكامل قائم على الأدلة يسمح للأطباء بممارسة الطب باستخدام أحدث الأبحاث.
يساعد Evidence Central في الإجابة على أسئلة الطب المستندة إلى الأدلة مع ملخصات Cochrane الشهيرة ، وإرشادات الطب القائمة على الأدلة والتي تتضمن الآلاف من الصور والفيديو. هذا المورد الشامل يبقيك أيضًا على اطلاع دائم من خلال تقديم قصيدة EE+ متدرجة ومصادقة عليها كل يوم وتوفير وصول فوري إلى أحدث الأدبيات الطبية مع مجلات Medline.
Evidence Central تشمل:
إرشادات الطب القائمة على الأدلة
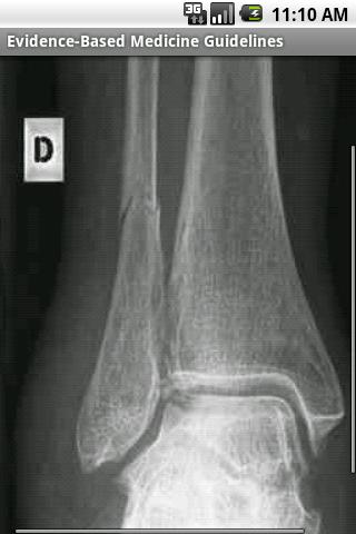
تتميز إرشادات الطب المستندة إلى الأدلة (EBMG) ما يقرب من 1000 إرشادات سريرية بما في ذلك التشخيص والعلاج وكذلك أكثر من 3000 ملخص أدلة تدعم كل توصية. يتضمن EBMG أيضًا أكثر من 1000 صورة ومكتبة فيديو واسعة يتم توصيلها مباشرة إلى جهازك. يتم تحديث EBMG بشكل متكرر.
ملخصات كوكرين
يتيح لك Cochrane Abstracts الوصول إلى أحدث ملخصات المراجعة التي تلخص نتائج المئات من التدخلات العلاجية. يوضح كل مراجعة جميع الأدلة المحيطة بعلاج طبي معين ، مما يوفر للأطباء معلومات جديدة يمكن أن تؤثر على كيفية اتخاذ قرارات الرعاية الصحية. يتم تحديث ملخصات Cochrane بانتظام.
قصائد EE+
قصائد EE+ (أدلة موجهة نحو المريض والتي تهم) تقدم أدلة جديدة ذات صلة بشكل خاص برعاية المرضى. تتم مراجعة كل قصيدة جديدة للدقة وتصنيفها من أجل الصلة قبل إصدارها ، مما يسمح للأطباء وغيرهم من المتخصصين في مجال الرعاية الصحية بتطبيق الأبحاث على الممارسة السريرية. عرض قصيدة جديدة عند تسليمها يوميًا أو ابحث في الأرشيف حسب التاريخ أو العنوان.
مجلات Medline
توفر Medline Journals الاستشهادات والملخصات من العدد الأخير من المجلات الطبية. يمكنك أيضًا الارتباط بخدمة Medline غير المتكاملة بالكامل ، حيث يمكنك العثور على المقالات ذات الصلة وعرض المقالات النصية الكاملة التي يقدمها Publisher للمجلة.
Evidence Central :
• البحث الفهرس الشامل عبر جميع المراجع
• نصائح وإخطارات وقصيدة EE+ اليومية
• روابط متقاطعة للتنقل السريع بين الموارد
• مفضلات شخصية
• تحديثات متكررة عند نشرها
• الاستشهادات والملخصات من أحدث المجلات الطبية
• وصول الويب والتحديثات لمدة عام واحد
كيف تعمل
______________
Evidence Central :
• قم بتثبيت التطبيق على جهازك.
• افتح التطبيق ، أدخل دليل المستخدم Evidence Central الخاصة بك ، ثم انقر فوق "تسجيل الدخول".
• سيتم تنزيل أحدث Evidence Central على جهازك عبر اتصالك اللاسلكي.
إذا كنت مستخدمًا جديدًا وكنت مهتمًا بمعرفة المزيد عن Evidence Central ، فيرجى زيارة موقع الطب غير المحدود.